В этой книге я говорю только о тех случаях, когда мозг не поврежден физически, а лишь ослаблены какие-то его функции или неправильно используются его возможности, из-за чего человеку трудно работать продуктивно. Моя задача – познакомить вас с привычками, необходимыми для таких ситуаций. Но физическое состояние мозга тоже очень важно.
Если нужно, я направляю пациентов на сканирование мозга (его можно сравнить с «железом» компьютера). После этого я разбираюсь с проблемами «программного обеспечения» – функциями мозга.
Периодически проходить сканирование очень полезно. Во-первых, потому, что сразу можно увидеть состояние мозга, а во-вторых, подумать о рекомендациях по улучшению образа жизни. Давайте поговорим о распространенном и эффективном методе магнитно-резонансной томографии (МРТ) и некоторых других.
При использовании МРТ пациента помещают внутрь специального устройства и получают изображение нужной области тела. Принцип работы устройства состоит во взаимодействии электромагнитного поля с атомами водорода в организме человека. В результате можно получить подробные изображения структур мозга, а с помощью компьютерной томографии (КТ) – и среза его тканей. К сожалению, этот метод дает не такую подробную картину, как МРТ. Можно также обследовать состояние сосудов мозга с помощью магнитно-резонансной ангиографии (МРА).
Основная цель прохождения МРТ-обследования – обнаружение очагов инсульта, ранних стадий атеросклероза и других заболеваний. Дело в том, что невозможность подобрать нужные слова, неспособность долго размышлять и прочее могут быть вызваны не только нездоровым образом жизни.
Возможно и прогрессирующее заболевание мозга, хотя человек не испытывает никаких болей. Это главная причина, по которой я советую периодически проходить обследование мозга, пока состояние не стало действительно тяжелым.
Вторая причина важности МРТ в том, что это исследование дает информацию о состоянии разных отделов мозга. Мозг, как и мышцы, постоянно тренируется, поэтому его часто используемые отделы поддерживаются в относительно стабильном состоянии, а неиспользуемые ослабляются. Знание формы дает информацию о том, какие функции своего мозга пациент обычно применяет. Например, ко мне нередко приходят пациенты, которые жалуются, что плохо воспринимают информацию на слух. Я прошу их пройти обследование, и часто обнаруживается, что у них истощились височные доли. А они отвечают за отправку лобным долям услышанной информации. Можно предположить, что человек мало общается с окружающими и действует, не слушая других людей. Из-за этого он терпит неудачи.
Пациенты с истощенными теменными долями часто путаются в дороге, а вещи в их комнате в беспорядке. Теменные доли отвечают за ориентацию в пространстве и контроль информации, полученной с помощью чувств. Если человек не может получить достаточных данных о своем положении в пространстве, если у него мало информации от рук и ног, то с ним и происходят все эти неприятности.
Знание таких закономерностей позволяет предположить, какие именно проблемы испытывает пациент. Получив результаты МРТ, я отправляю пациента на нейропсихологическое тестирование (исследование сохранности отдельных функций мозга), потом провожу с ним беседу и слушаю, как он говорит, и лишь после этого выдаю свои рекомендации.
Но поймите меня правильно: если какая-то область мозга истощена, это еще не означает снижение функции, за которую эта область отвечает. Нужно обязательно учитывать индивидуальные особенности мозга. Когда речь идет о мозге, чаще всего трудно окончательно установить, что является причиной проблем пациента.
Но обследование помогает понять, например, почему пациент постоянно совершает одни и те же промахи.
Обследование сосудов мозга с помощью МРА помогает понять, какие функции ослаблены и какие почти не задействованы, если с помощью МРТ этого выяснить не удалось. В участки, которые часто используются, должно поступать много кислорода и глюкозы, а для этого нужны развитые сосуды. А в почти бездействующие зоны нет необходимости доставлять кислород и глюкозу, поэтому сосуды там слабее. Так можно выяснить, что у пациента получается плохо или что он не привык делать.
Однако и в этом случае нельзя утверждать, что сосуды ослабли, потому что какие-либо функции мозга не использовались. Возможно, сначала по какой-то причине ухудшилось состояние сосудов, а уже из-за этого снизилась активность функций, за которые отвечает данная зона.
Например, если в одном из участков мозга возникает дефект под названием лимфатическая мальформация, то поступление крови туда затрудняется. В некоторых случаях при этом ухудшается память и появляются проблемы с плавностью речи. В такой ситуации будет сложно добиться изменений к лучшему, сколько упражнений ни делай. Придется признать наличие физического дефекта и восполнять недостатки функционирования мозга. Например, чаще записывать информацию.
В случае стеноза (сужения) сосудов мозга нужно одновременно проводить лечение и тренировать сниженные функции, иначе будет невозможно устранить корень проблемы. Это еще один способ применения информации от МРА.

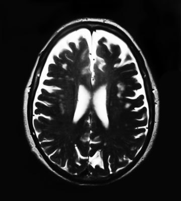
МРТ-снимок мозга девушки, которая жалуется на периодические головокружения. Кроме того, она не может сразу подобрать нужные слова. В правой лобной доле (если смотреть на фото так, как есть, – то слева) видна лимфатическая мальформация.

Изображение того же участка с лимфатической мальформацией, полученное с помощью МРА.